
Results of a groundbreaking, randomized trial involving more than 105,000 women reveals that the use of artificial intelligence (AI) in mammography screening significantly increases cancer detection rates while reducing the workload for radiologists.
Published in The Lancet Digital Health, the Mammography Screening with Artificial Intelligence (MASAI) trial, conducted within the Swedish national screening program, demonstrates that Transpara®-assisted workflow increased cancer detection by 29% and resulted in a 44% reduction in the screen-reading workload for radiologists. The new results show an even greater increase in cancer detection than the interim results reported in 2023 (Lang et al, Lancet Oncology 24:8, p936-944) and provide more detailed insights in the benefits of applying AI to the breast cancer screening workflow.
Key findings of the study, “Screening performance and characteristics of breast cancer detected in the Mammography Screening with Artificial Intelligence trial (MASAI): a randomised, controlled, parallel-group, non-inferiority, single-blinded, screening accuracy study” include:
- Increased Cancer Detection: Transpara-supported screening detected 338 cancers among 53,043 participants, representing a 29% increase in cancer detection, without increasing false positives.
- Higher Detection Rate: The cancer detection rate was 6.4 per 1000 participants in the AI group, compared to 5.0 per 1000 in the control group.
- Reduced Workload: The AI-supported screening procedure resulted in a 44% reduction in the screen-reading workload for radiologists.
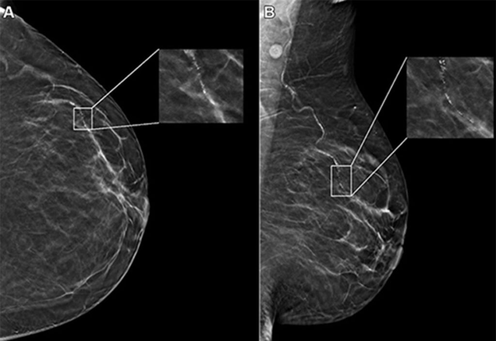
- Detection of Clinically Relevant Cancers: Transpara-supported screening led to increased detection of small, lymph-node negative, invasive cancers, and high-grade in situ cancers, which is crucial for early intervention and treatment.
Dr. Kristina LÃ¥ng, lead researcher from Lund University, stated, “Our findings indicate that AI-supported screening can significantly enhance the early detection of clinically relevant breast cancers while reducing the workload for radiologists. This has the potential to improve patient outcomes and optimize the use of healthcare resources.”
The larger increase in cancer detection in the MASAI trial compared to other studies highlights the importance of integrating AI into mammography screening workflow to enhance clinical performance without increasing the burden of false positives.
According to publication authors, “the MASAI screen-reading procedure emphasised radiologists having access to breast AI lesion detection and risk information at screen reading to introduce a beneficial bias. By making radiologists aware of the cancer prevalence when reading low-risk and high-risk exams, this may influence them to reduce false positives in low cancer prevalence readings and reduce false negatives in high cancer prevalence readings by giving access to regional marks highlighting suspicious findings to lower the risk of overlooking potential findings.”
The most clinically validated Breast AI on the market, Transpara provides radiologists with a ‘second pair’ of eyes to help detect cancers earlier and reduce recall rates.

