Royal Philips has released Transcend Plus, the next generation its EPIQ CVx and Affiniti CVx cardiovascular ultrasound systems.
Transcend Plus delivers major advancements in image quality and artificial intelligence (AI), including newly FDA-cleared 2D and 3D image quality enhancements and a growing suite of AI-enabled clinical applications – all designed to meet the growing challenges of cardiac care delivery, according to a press release.
“With increased patient volume, rising clinical complexity, and persistent staffing shortages, Transcend Plus is designed to help cardiology teams work smarter, not harder – offering fast, reproducible results with uncompromising image quality and decision-making support,” the release states.
“Transcend Plus represents a bold leap forward in the evolution of echocardiography, reinforcing our commitment to continuous innovation, empowering clinicians with AI-driven tools that enhance confidence, accelerate decision-making, and elevate care at every stage of the cardiac journey,” said David Handler, business leader, cardiology ultrasound at Philips. “Transcend Plus is more than an advancement – it’s a clear statement of Philips’ leadership in cardiovascular ultrasound. Building on the momentum of our original Transcend launch, Transcend Plus brings the full power of AI integration to the forefront, giving clinicians the confidence, speed, and precision they need to lead in cardiac care – today and into the future.”
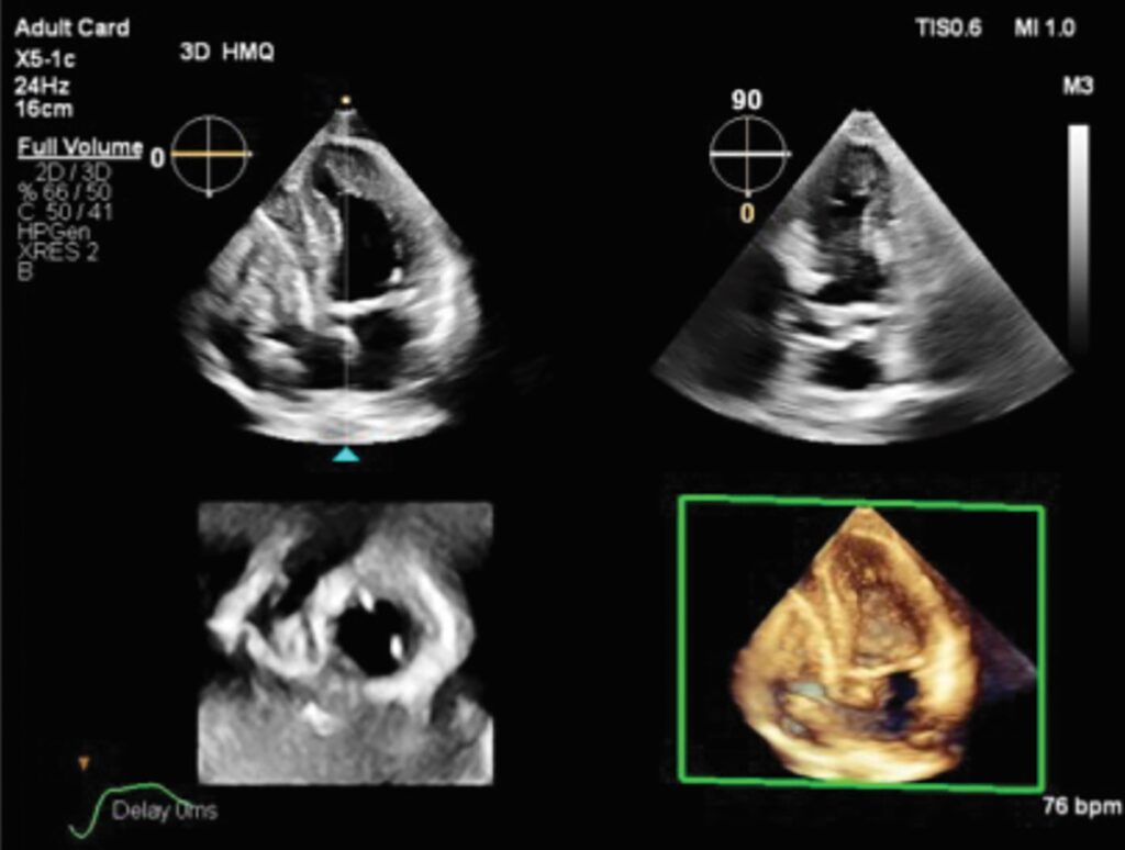
Transcend Plus visibly improves sharpness, contrast, and detail in 2D and 3D imaging, featuring the latest FDA-cleared enhancements for EPIQ CVx and Affiniti CVx, the release states. These upgrades support superior visualization of cardiac anatomy and function, enabling diagnostic confidence even in the most complex or technically challenging cases. The update also introduces the new 2D Auto EF Advanced feature, expanding AI capabilities for contrast images – essential for accurately assessing cardiac function.
“Artificial intelligence is a tool, not a threat, and I always maintain that human plus AI is going to be better than human alone or AI alone – the 3D Auto CFQ and 3D Auto TV AI applications are examples of this, taking manual, time-consuming processes and automating these measurements in a fast, easy and reproducible way,” said Akhil Narang, MD, director, echocardiography laboratory and associate professor of medicine, division of cardiology at the Feinberg School of Medicine, Northwestern University and Bluhm Cardiovascular Institute.

26 FDA-cleared AI applications, now fully integrated
Philips now offers 26 FDA-cleared cardiovascular ultrasound AI applications fully integrated into Transcend Plus for both EPIQ and Affiniti CVx systems. Among the latest enhancements to receive FDA 510(k) clearance are 2D Auto EF and 2D Auto EF Advanced. These advanced tools are designed to streamline clinical workflows and improve diagnostic accuracy across a range of care settings, from the echo lab through the hospital to outpatient clinics, pre-assessment, and long-term follow-up. With these integrated AI applications, clinicians can assess patients more quickly, consistently, and confidently across the entire care continuum.
Why left ventricular function assessment matters
Left ventricular (LV) function assessment is one of the most critical applications in cardiac imaging, playing a central role in diagnosing and managing a wide range of cardiac conditions. Transcend Plus directly supports this need by delivering fast, reproducible results that help cardiologists quickly and definitively evaluate LV function consistently across different patients and over time. Automated tools minimize operator variability, ensuring more reliable and standardized measurements, especially vital in high-volume or high-pressure clinical environments. In addition, Transcend Plus offers robust support for both contrast and non-contrast imaging. The 2D Auto EF feature enables accurate assessments even when contrast agents cannot be used, such as in patients with renal impairment. Building on this, 2D Auto EF Advanced adds AI-powered quantification capabilities for both contrast and non-contrast studies, broadening clinical applicability and enhancing measurement reliability in patients with poor image quality or challenging acoustic windows. These capabilities combine to deliver a more confident, efficient approach to cardiac care.

Clinical confidence, anywhere, anytime
Transcend Plus empowers clinicians to make fast, confident decisions across every cardiac care setting – whether in the echo lab, interventional suite, or during routine outpatient assessments. By delivering sharper imaging and intelligent automation, it enables more informed care, streamlines workflows, and helps providers manage growing patient volumes without compromising diagnostic quality or clinician well-being. Transcend Plus delivers three core benefits: enhanced image quality for clearer visualization of cardiac anatomy and improved diagnostic precision; advanced AI integration, with 26 FDA-cleared applications that automate and accelerate routine tasks; and faster, more actionable insights that reduce delays and support timely, evidence-based clinical decisions throughout the care journey.
Philips Ultrasound systems installed around the world perform an estimated 1.33 billion diagnostic and interventional procedures each year, supporting diagnosis and treatment for 654 million unique patients annually. Transcend Plus will be demonstrated live at the European Society of Cardiology 2025 Congress (ESC) in Madrid (Aug. 29-Sept. 1) and the American Society of Echocardiography annual meeting (ASE) in Nashville (Sept. 5-7), offering hands-on clinical insight into how these innovations are transforming cardiac ultrasound. Visit Philips Cardiovascular Ultrasound for more information.

