
Continuing its momentum in AI-powered MR, Philips has received FDA 510(k) clearance for SmartSpeed Precise [1] MR’s latest deep learning reconstruction software, marking a major milestone in the journey toward autonomous, personalized MRI. SmartSpeed Precise is the industry’s first integrated dual AI solution, delivering up to 3x faster scanning [2] and up to 80% sharper images [3]—all in just one click.
Dual AI MR
Unveiled at ECR 2025, SmartSpeed Precise is now cleared for clinical use across Philips’ entire portfolio of 1.5T and 3.0T MRI systems [4], including its extensive installed base. This makes it one of the most scalable and impactful innovations in the MRI market today.
“This FDA clearance is a powerful validation of Philips’ leadership in AI-powered MRI innovation,” said Ioannis Panagiotelis, Ph.D., Business Leader MR at Philips. “SmartSpeed Precise reflects our commitment to continuous innovation that addresses clinicians’ real-world pressures. By integrating dual AI with our proven Compressed SENSE engine, we are enabling faster, sharper, and smarter MR scans – making high-quality imaging more accessible and efficient than ever before.”

Meeting today’s most pressing MRI challenges
The healthcare industry faces growing demand for MRI scans while battling widespread staff shortages, increased wait lists and rising burnout among healthcare professionals worldwide. Radiology departments are under immense pressure to deliver more with fewer resources, all while ensuring diagnostic accuracy and maintaining a high standard of care. The Philips Future Health Index 2025 Global Report shows healthcare professionals recognize AI’s potential: not just to reclaim time lost to administrative tasks, but to diagnose diseases more precisely, reduce avoidable hospital readmissions, and improve patient outcomes.
SmartSpeed Precise directly addresses these challenges as the technology is seamlessly integrated into the MR system, enabling a transformative leap in workflow efficiency and throughput, all without compromising image quality. This deep integration allows radiology teams to harness the full power of AI in a single, intuitive solution that simplifies daily operations, accelerates scans, and consistently delivers sharp, high-quality images across clinical settings.
“SmartSpeed Precise helps us do what was previously thought impossible – deliver sharper, faster MRI with less effort,” said Dr. Julian Luetkens, Professor of Radiology, University Hospital Bonn. “In breast MRI, we saw acquisition times reduced by up to 50% [3], with image quality improving compared to previous Compressed SENSE protocols. That’s a game-changer.”
Integrated Dual AI: A breakthrough in image reconstruction
SmartSpeed Precise combines three powerful technologies into one seamless solution which includes:
- Compressed SENSE, Philips’ gold-standard acceleration engine;
- An AI-powered denoising engine, enhancing image clarity by reducing noise; and
- A second AI engine for image sharpening and anti-ringing, ensuring exceptional definition and diagnostic quality.
The unique integrated dual AI approach sets SmartSpeed Precise apart in the industry. Technologists can now deliver high-quality exams at record speeds, using a single-click workflow that adapts to their preferred denoising settings. This ease of use makes the solution valuable for seasoned and less experienced staff – an essential advantage in today’s understaffed healthcare environments.
Key benefits for healthcare providers
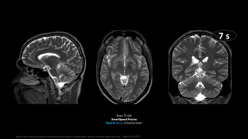
SmartSpeed Precise delivers a powerful combination of speed, precision, and simplicity that directly addresses the most urgent challenges facing radiology departments today. With scan times up to three times faster [2], providers can reduce patient backlogs by increasing throughput without compromising quality, reducing diagnostic scan times to levels not seen before, including a less than 10-second brain scan. The system delivers up to 80% sharper images [3], boosting diagnostic confidence in complex areas like neurology, oncology, and cardiology. Its streamlined, one-click workflow promotes consistent imaging across teams and patient anatomies, with easy protocol optimization ensuring reliable results, even in challenging cases like pediatric, elderly or uncooperative patients.

Scalable impact across the installed base
SmartSpeed Precise is available for new Philips MRI installations and across Philips’ installed base of 1.5T and 3.0T MR systems [4], offering healthcare systems a scalable, cost-effective upgrade path that boosts clinical performance without requiring new hardware.
Sources
[1] SmartSpeed Precise is not yet CE marked and not available for sale.
[2] Compared to Philips SENSE imaging
[3] Compared to Philips SENSE/ C-SENSE imaging.
[4] dStream based systems.

