
ScanLabMR, a global leader in MRI and CT simulation and education software, has announced a “groundbreaking upgrade” to its MRI simulator that introduces the industry’s first scientifically accurate visualization of key image artifacts within a simulated clinical environment. The new capability allows users to observe and interact with artifacts as they occur during scanning – most notably phase aliasing, commonly known as wrap artifact – providing an unprecedented level of realism in MRI training and education.
Phase aliasing/wrap artifact is one of the most frequently encountered artifacts in clinical MRI practice. Until now, MRI simulation platforms have been limited in their ability to realistically demonstrate how parameter choices directly impact image outcomes. With this latest upgrade, ScanLabMR closes the gap between theory and clinical reality.
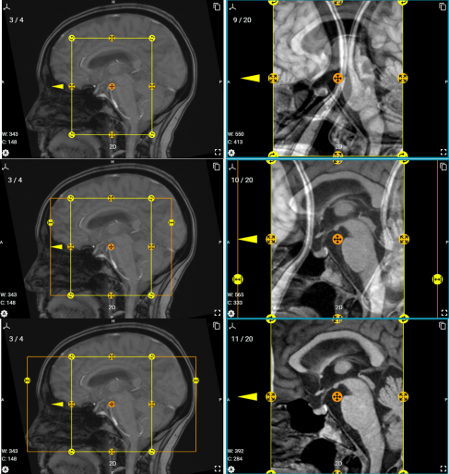
The enhanced simulator now dynamically displays varying degrees of phase aliasing directly within generated MRI images. The amount of wrap experienced by the user is determined by a true cause-and-effect relationship between key imaging parameters, including:
- Field of View (FOV) selection
- Oversampling/Wrap Prevent/No Phase Wrap settings
- Phase encoding direction choices
This advancement allows learners to immediately visualize the consequences of their decisions, reinforcing practical understanding through experiential learning rather than abstract grading alone.
“What makes this innovation truly unique is that users now see exactly the amount of wrap their parameter choices produce – no more, no less,” said Matthew Hayes, president and creator of ScanLabMR. “This creates a realistic learning environment where MRI technologists develop intuition the same way they would on a clinical scanner.”
The development represents a scientific world first in MRI simulation. While accurate simulation of phase aliasing has long been theorized, no simulator has previously succeeded in reproducing the artifact with parameter-dependent realism with perfect scientific accuracy.
The breakthrough was achieved through collaboration with leading scientists from the Massachusetts Institute of Technology and Martinos Center, whose expertise helped translate MRI physics theory into a fully interactive simulation model.
By enabling users to observe true imaging consequences in real time, ScanLabMR continues its mission to bridge the gap between education and clinical practice—helping technologists build confidence, reduce scanning errors, and strengthen artifact recognition skills before entering the clinical environment.
This upgrade further reinforces ScanLabMR’s position at the forefront of simulation-based MRI education, delivering training experiences that closely mirror real-world imaging challenges.

